• 4,270-year-old human skull found along banks of Indiana's Whitewater River

    01:18
  • Understanding the political importance of rare earth elements

    02:44
  • Remembering Jane Goodall: Renowned chimpanzee researcher dead at 91

    02:30
  • IVF is helping coral reef restoration with a reproductive boost

    02:21
  • Bob Costas to host fundraising dinner for paralysis research

    03:49
  • 'Cyborg' beetles being developed to help in rescue efforts

    02:42
  • NASA introduces 2025 astronaut class chosen from 8,000 applicants

    02:54
  • 140-year-old 'ghost ship' found in Lake Michigan

    02:02
  • Interstellar object 3I/ATLAS continues its journey across the solar system

    06:54
  • Now Playing

    Study shows how thumbs helped shape the brain

    03:43
  • UP NEXT

    Europe’s glaciers melting at fastest pace on the planet

    02:40
  • Argentinians hooked on deep sea exploration livestream

    01:50
  • SpaceX Crew-11 blasts off for the International Space Station

    03:51
  • Scientists inject rhino horns with radioactive material to combat poaching

    01:30
  • SpaceX launch scrubbed due to weather

    04:08
  • ‘Flourishing’ ecosystem discovered 30,000 feet below the Pacific Ocean

    00:48
  • New report details rising cost of weather disasters

    02:29
  • Dinosaur fossil found under Denver museum parking lot

    01:46
  • Why July 9, 2025 is one of the shortest days in recorded history

    03:10
  • Environmental Protection Agency aims to erase greenhouse gas limit on power plants

    03:16

Stay Tuned NOW

Study shows how thumbs helped shape the brain

NBC News Clone summarizes the latest on: Study Shows How Thumbs Helped Shape The Brain 246647877505 - Breaking News | NBC News Clone. This article is rewritten and presented in a simplified tone for a better reader experience.

03:43

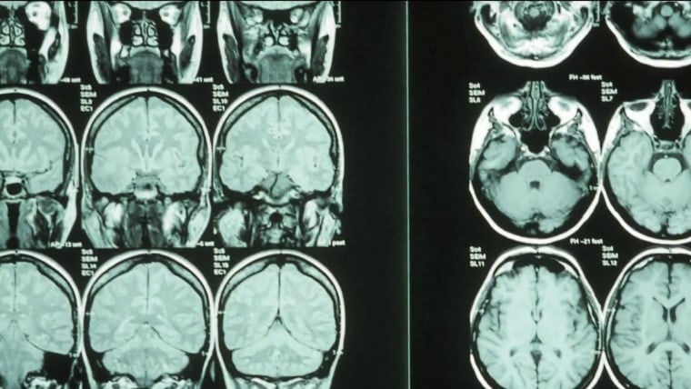
A new study out of the U.K. lays out how thumbs helped shape brain development in humans and other primates. Scientists found a link between thumb size and the size of the neocortex which is involved in higher-order brain functions, which they say suggests that thumbs are linked to "thinking and not movement."

×
AdBlock Detected!
Please disable it to support our content.

Related Articles

Donald Trump Presidency Updates - Politics and Government | NBC News Clone | Inflation Rates 2025 Analysis - Business and Economy | NBC News Clone | Latest Vaccine Developments - Health and Medicine | NBC News Clone | Ukraine Russia Conflict Updates - World News | NBC News Clone | Openai Chatgpt News - Technology and Innovation | NBC News Clone | 2024 Paris Games Highlights - Sports and Recreation | NBC News Clone | Extreme Weather Events - Weather and Climate | NBC News Clone | Hollywood Updates - Entertainment and Celebrity | NBC News Clone | Government Transparency - Investigations and Analysis | NBC News Clone | Community Stories - Local News and Communities | NBC News Clone