• UP NEXT

    Jeanine Pirro walks back D.C. gun statement after backlash

    01:06
  • Dodgers star Shohei Ohtani talks baseball, big spending, and his new children’s book

    03:24
  • Disney names parks leader to take over as CEO

    02:55
  • Partially frozen Niagara Falls attracts tourists in below freezing temperatures

    01:30
  • Renee Good’s brother: ‘Encounters with federal agents are changing the community’ 

    03:52
  • Authorities appeal for help from public in search for Nancy Guthrie

    03:47
  • Documentary shows how a Bay Area community brought lacrosse to their hometown

    04:43
  • Jill Biden's ex-husband arrested on charges of murdering his current wife

    02:06
  • ‘They want to intimidate you’: Don Lemon describes recent arrest on 'Jimmy Kimmel Live!'

    01:39
  • ‘We just want her back’: Arizona sheriff addresses search for Savannah Guthrie's mother

    08:31
  • Former NASA astronaut speaks on critical Artemis II moon rehearsal 

    04:08
  • Artists use Grammys platform to speak on Trump’s immigration crackdown

    04:43
  • Three fraternity members arrested after student's alleged hazing death

    03:35
  • Dangerous winter storm slams South

    01:50
  • Search underway for Savannah Guthrie’s mother

    01:07
  • Brendan Banfield found guilty of killing wife and stranger in 'au pair' double murder

    04:44
  • How Black History Month was created

    03:26
  • Sheriff describes home of Savannah Guthrie’s missing mother as a crime scene

    01:34
  • Democrat Taylor Rehmet flips a Republican Texas state Senate seat

    04:18
  • House gets washed away by North Carolina storm surge

    01:37

NBC News Channel

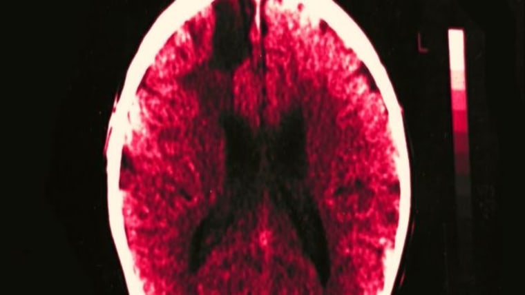
Tumor Atlas Combats Deadly Cancer

Catch up with NBC News Clone on today's hot topic: Tumor Atlas Combats Deadly Cancer 452105283537 - Breaking News | NBC News Clone. Our editorial team reformatted this story for clarity and speed.

02:35

A new project from the Allen Institute for Brain Science could help understand deadly glioblastoma tumors. KING's Jean Enersen reports.

×
AdBlock Detected!
Please disable it to support our content.

Related Articles

Donald Trump Presidency Updates - Politics and Government | NBC News Clone | Inflation Rates 2025 Analysis - Business and Economy | NBC News Clone | Latest Vaccine Developments - Health and Medicine | NBC News Clone | Ukraine Russia Conflict Updates - World News | NBC News Clone | Openai Chatgpt News - Technology and Innovation | NBC News Clone | 2024 Paris Games Highlights - Sports and Recreation | NBC News Clone | Extreme Weather Events - Weather and Climate | NBC News Clone | Hollywood Updates - Entertainment and Celebrity | NBC News Clone | Government Transparency - Investigations and Analysis | NBC News Clone | Community Stories - Local News and Communities | NBC News Clone